ORTHODONTIE
Qu'est-ce que l'orthodontie ?

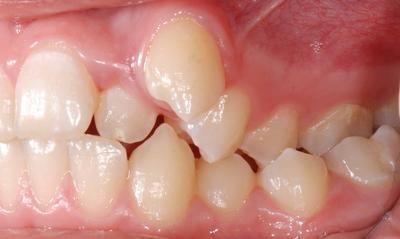
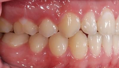
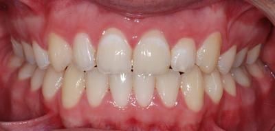
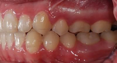
L’orthodontie
ou orthopédie dento-faciale, du grec orthos (droit) et odontos (dent) est l’art
de corriger les malpositions dentaires et par extension, les dysharmonies
dento-alvéolaires et squelettiques des mâchoires.
Cette branche spécialisée de la médecine dentaire a pour but de corriger à la fois
les problèmes fonctionnels, esthétiques et d’hygiène.
Outre une mauvaise mastication, des problèmes de phonation, de respiration peuvent aussi
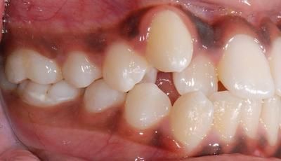
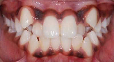
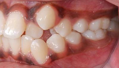
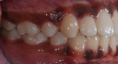
être créés par une mauvaise occlusion. Il est aussi évident que des dents mal
positionnées, se chevauchant, rendent le brossage et le maintien d’une bonne
hygiène buccale difficiles.
Pour Qui ?
L'orthopédie dento-faciale, qui vise à corriger les mâchoires et leurs relations entre elles, s'adresse uniquement aux enfants en croissance. L'orthodontie, quant à elle, vise à corriger la
position des dents et peut s'adresser aux jeunes patients comme aux adultes. Une fois la période de croissance passée, lorsque l'orthopédie dento-faciale n'est plus envisageable et qu'une mauvaise relation subsiste entre les mâchoires, un traitement combinant de la chirurgie maxillo-faciale peut devenir nécessaire.
Comment ?
Le déplacement des dents se fait par application de forces légères sur les dents. La correction des mâchoires peut être obtenue par des appareils fonctionnels qui modifient leur positionnement. De nouvelles technologies ont permis de diminuer considérablement les douleurs créées par les appareillages dentaires d’il y a quelques décennies.
Qu’est-ce qu’un spécialiste en orthodontie ?
En Suisse, l’orthodontie est souvent exercée par des médecins-dentistes généralistes qui ont des connaissances d'orthodontie. Mais la spécialisation en Orthodontie exige préalablement un diplôme de médecin-dentiste et un minimum d'un an de pratique privée comme médecin-dentiste. Cette formation universitaire dure 4 années à plein temps et un examen fédéral décerne le titre de spécialiste en Orthodontie.
Le Docteur Epars a suivi ce cursus et possède le titre de spécialiste en Orthodontie.

Dans son cabinet d'Orthodontie à Montreux et à Sion, votre spécialiste réalise ses traitementspar :
- Orthopédie dento-faciale, orthodontie fonctionnelle
- Technique fixe vestibulaire, bagues, brackets métalliques ou transparentes
- Technique linguale Incognito, Win, 2D, etc…
- Gouttières d'alignement, Clear-Aligner, Invisalign, etc…













